/
/
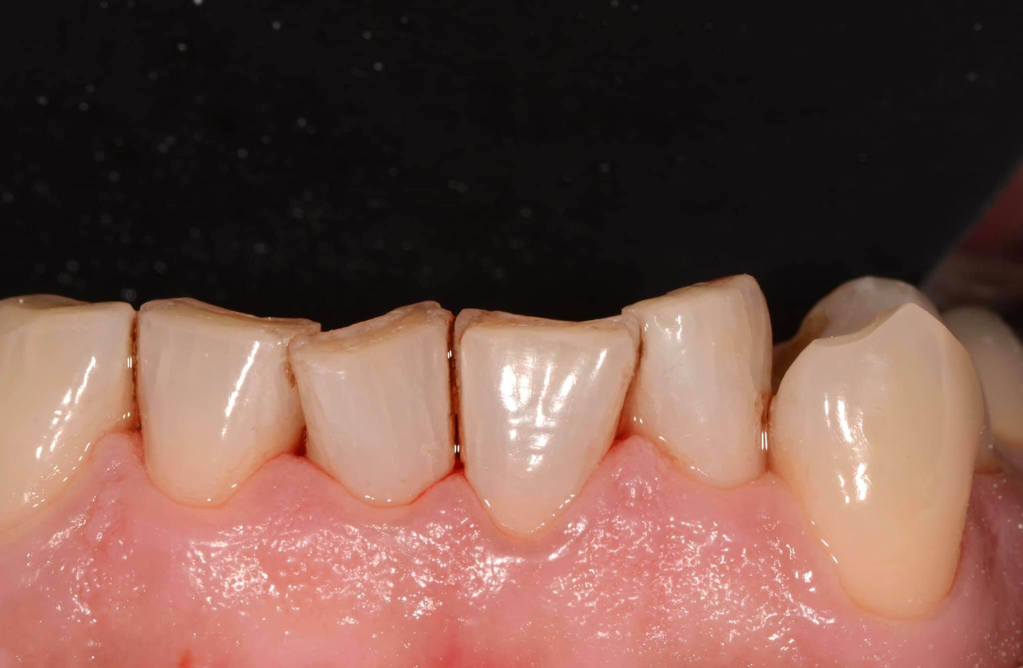
【林愛涓醫師專欄】滿口黃牙好困擾?牙齒染色這招能幫你修復!

【林愛涓醫師專欄】滿口黃牙好困擾?牙齒染色這招能幫你修復!

林愛涓醫師專欄:解決滿口黃牙的困擾,還原潔白齒色

目錄

呈易美學牙醫診所院長 林愛涓 醫師

呈易美學牙醫診所院長 林愛涓 醫師

台大醫院補綴暨牙體復形科總醫師,20年臨床行醫經驗,始終秉持保留原牙的理念,除了徹底治療外,更希望以預防為前提,保留每個自然的微笑,高品質治療與專業規格為特色,專精於植牙、全口重建及美學牙科領域 。

延伸閱讀